Vo Východoslovenskom onkologickom ústave, a.s. sme spustili liečbu, ktorá dokáže nádor zničiť presne na milimeter – bez skalpela, s dôrazom na pacienta.
Mikrovlnnú abláciu úspešne podstúpili prví traja pacienti.
Zákroky vykonal primár Rádiologického oddelenia VOÚ MUDr. Peter Šmirják, MHA v spolupráci so skúseným onkorádiológom, primárom MUDr. Ivanom Uhrinom z Národného onkologického ústavu, s celým tímom zdravotníkov VOÚ, a.s. . Intervenčnej onkorádiológii sa MUDr. Ivan Uhrín venuje dlhodobo a patrí medzi odborníkov, ktorí na Slovensku zavádzali moderné ablačné metódy.
Táto spolupráca spája skúsenosti špičkových pracovísk a prináša pacientom na východnom Slovensku prístup k najmodernejším liečebným postupom.
👉 Ako to funguje?
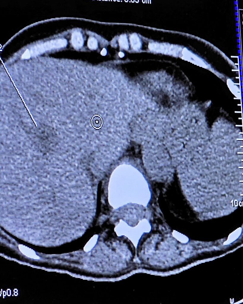
Mikrovlnná ablácia umožňuje zničiť nádor priamo na mieste – pomocou tepla, bez klasickej operácie.
👉 Presnosť, ktorá rozhoduje
✔️ vysoká presnosť zákroku
✔️ minimálne zaťaženie organizmu
✔️ rýchlejšia rekonvalescencia
✔️ možnosť liečby aj pre pacientov, ktorí nemôžu podstúpiť operáciu
V mnohých prípadoch dokáže takáto liečba operáciu nahradiť alebo ju vhodne doplniť.
👉 Moderná onkológia bližšie k pacientovi
Zavedenie tejto metódy je ďalším krokom, ktorým Východoslovenský onkologický ústav, a.s. potvrdzuje svoju ambíciu prinášať modernú, dostupnú a šetrnú liečbu.
Pre pacientov to znamená viac než len medicínsky výkon.
Je to nádej. Menej strachu. A rýchlejšia cesta k liečbe.










